About the clinic
Quality International Dental Clinic, established in 2022, is a premier dental facility located in Tijuana, Mexico. Situated just minutes from the San Ysidro border, the clinic serves a diverse international clientele, including patients from the United States, Canada, and Australia. Renowned for its commitment to excellence, the clinic offers a comprehensive range of dental services, including general, preventive, cosmetic, restorative, and emergency dentistry. With a focus on personalized care, advanced technology, and multilingual support, Quality International Dental Clinic stands as a top hospital in Tijuana for dental treatments.
Explore why thousands choose Quality International Dental Clinic for treatment abroad.
Key Specialties and Departments
Quality International Dental Clinic specializes in a wide array of dental services, ensuring comprehensive care for all patients:
- General Dentistry: Routine check-ups, cleanings, fillings, and extractions to maintain oral health.
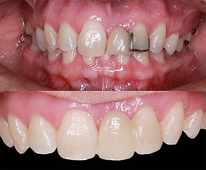
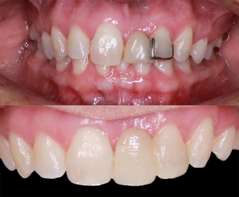
- Cosmetic Dentistry: Teeth whitening, veneers, and dental bonding to enhance smile aesthetics.
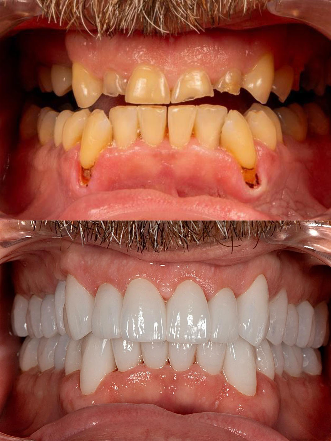
- Restorative Dentistry: Crowns, bridges, and dentures to restore function and appearance.
- Implantology: All-on-4 and All-on-6 dental implants for patients with missing teeth.
- Orthodontics: Braces and clear aligners to correct bite issues and straighten teeth.
- Endodontics: Root canal treatments to address deep tooth infections.
- Periodontics: Gum treatments, including deep cleaning and gum depigmentation.
- Oral Surgery: Wisdom tooth removal, bone grafts, and other surgical procedures.


















