About the clinic
Dr. Bernal Soto is a leading dental clinic based in San José, Costa Rica, renowned for excellence in cosmetic and aesthetic dentistry. Since its establishment, the clinic has served both local and international patients seeking the top hospital in San José for advanced dental treatments. The mission of Dr. Bernal Soto is to deliver high-quality care underpinned by advanced technology, outstanding patient safety, and personalized service from a multilingual staff.
Founded under the leadership of Dr. Bernal Soto Arce, the clinic operates in San José Province, Costa Rica. It has built a reputation among international patients for its commitment to microdentistry, aesthetic enhancements, and precision dental implants. Key strengths include master-level training in cosmetic and aesthetic dentistry, modern equipment, and emphasis on patient comfort and esthetic outcomes.
Explore why thousands choose Dr. Bernal Soto for treatment abroad. Find out how this top hospital in San José combines technical expertise with compassionate care to give patients outstanding results.
Key Specialties and Departments at Dr. Bernal Soto
Dr. Bernal Soto specializes in departments focused on cosmetic, aesthetic, and restorative dentistry. Its key areas of expertise include:
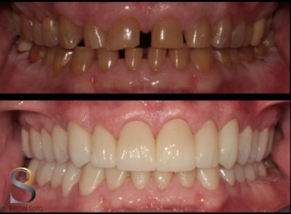
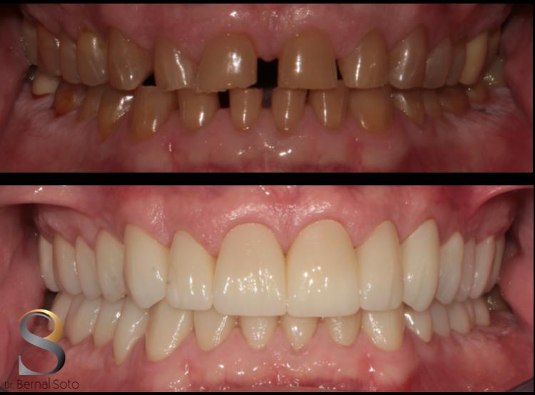
- Cosmetic Dentistry: Procedures to improve appearance, such as veneers, teeth whitening, and smile design. Helps correct discoloration, irregular shapes, and misalignment.
- Aesthetic Dentistry: Focused on creating natural, beautiful smiles through advanced esthetic techniques. Emphasis on symmetry, proportions, and harmony.
- Microdentistry: Minimally invasive techniques to preserve more of the natural tooth structure; uses magnification and precise tools.
- Dental Implants: Replacement of missing teeth with implants. Known for high success rates when performed by skilled professionals.
Treatments and Patient Care Features
- Pre-operative care: Assessment, diagnostics, imaging, and planning to ensure optimal treatment path and patient safety.
- Procedures: Such as placement of dental implants, application of veneers, full smile makeovers, aesthetic restorations.
- Post-operative care: Follow-ups, monitoring healing, adjustment of prostheses, maintenance advice to preserve results.
- Success rates: High satisfaction among patients; many achieve long-lasting esthetic results when care and maintenance are followed.
Technologies & Facilities that Set Dr. Bernal Soto Apart
Dr. Bernal Soto is equipped with modern facilities and state-of-the-art technologies that elevate the quality of dental care:
- Advanced imaging systems: High-resolution imaging for precise diagnosis and treatment planning; imaging equipment for implants and esthetic work.
- Minimally invasive tools: Microscopes and microdentistry tools to reduce patient discomfort and preserve tissue.
- Modern clinics and treatment rooms: Designed for patient comfort, sterility, and high standards in clinical protocols.
- Recovery and follow-up areas: Spaces dedicated to patient monitoring and comfort post-treatment.
It is through this combination of digital systems, advanced machines, and well-designed facilities that Dr. Bernal Soto distinguishes itself from older or less equipped dental practices.






















